Before and After

Discover the remarkable transformations at Parker Wentz Orthodontics! Our Before & After page showcases real patients and their stunning results, highlighting the confidence and beautiful smiles our expert care delivers. See the difference today!

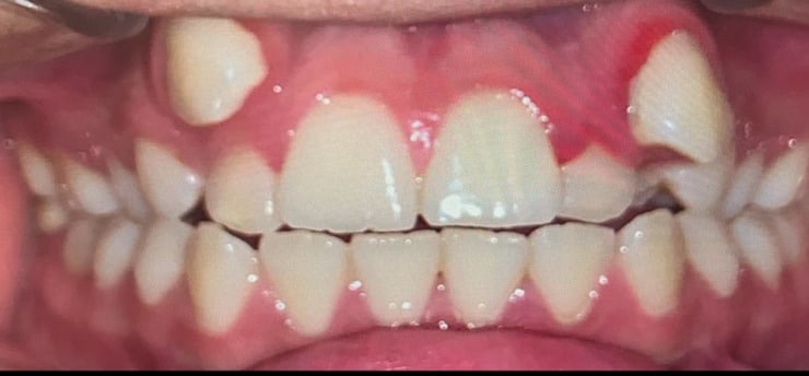
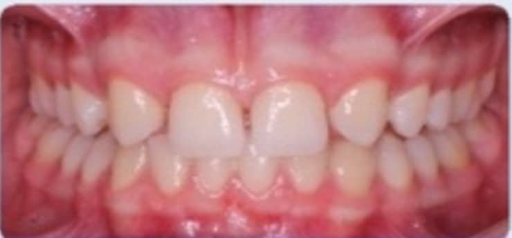
CASE 1

Before

Before Orthodontic Treatment Parker Wentz Orthodontics in Lubbock and Seminole, TX

After

After Orthodontic Treatment Parker Wentz Orthodontics in Lubbock and Seminole, TX

CASE 2

Before

Before Orthodontic Treatment Parker Wentz Orthodontics in Lubbock and Seminole, TX

After

Orthodontic Treatment Parker Wentz Orthodontics in Lubbock and Seminole, TX

CASE 3

Before

Before Orthodontic Treatment Parker Wentz Orthodontics in Lubbock and Seminole, TX

After

Orthodontic Treatment Parker Wentz Orthodontics in Lubbock and Seminole, TX

CASE 4

Before

Before Orthodontic Treatment Parker Wentz Orthodontics in Lubbock and Seminole, TX

After

Orthodontic Treatment Parker Wentz Orthodontics in Lubbock and Seminole, TX